Cloudvet logo 知识库

皮肤刮削物镜检:寄生虫与真菌的识别

吴礼平 发布于 2017-12-25
导读:引起犬寄生虫性皮肤病的病原识别,包括寄生虫(蚤、虱、蠕形螨、耳痒螨、疥螨、姬螯螨)、细菌和真菌(犬小孢子菌、石膏样小孢子菌、马拉色菌)等。

犬、猫的皮肤病根据病因不同,可分为细菌性、真菌性、营养性、内分泌性、过敏性、寄生虫性皮肤病等。

引起犬寄生虫性皮肤病的病原,包括蚤、虱、蠕形螨、耳痒螨、疥螨、姬螯螨等。

正常时,动物体表会有细菌、真菌附着。镜检细菌,尤其是载玻片上的涂样较厚时,应不断微调显微镜的焦距,有时会在某一平面突然发现大量细菌。在真菌方面,动物耳道内常见马拉色菌,体表其他部位常见犬小孢子菌、石膏样小孢子菌,部分真菌在毛发内生长。借助伍德灯照射,可迅速缩小真菌检查时病料采集的范围。

 1.蚤

犬猫的蚤病是由蚤目、蚤科、栉首蚤属的跳蚤寄生于犬猫体表的一种外寄生虫病,以引起犬、猫瘙痒和皮炎为主要症状。此外,跳蚤还是犬复孔绦虫的传播媒介或中间宿主。

侵害犬、猫的跳蚤主要是犬栉首蚤和猫栉首蚤,其中犬栉首蚤寄生于犬和野生犬科动物,猫栉首蚤寄生于猫和犬。雄蚤体长不足1毫米,雌蚤有时长达2.5毫米以上,其卵微小、呈白色球形。

icon
蚤
资源描述:蚤(猫)(40×)。侵害犬、猫的跳蚤主要是犬栉首蚤和猫栉首蚤,其中犬栉首蚤寄生于犬和野生犬科动物,猫栉首蚤寄生于猫和犬。雄蚤体长不足1毫米,雌蚤有时长达2.5毫米以上。
icon蚤(猫)
蚤(猫)
资源描述:蚤(猫)(40×5)。侵害犬、猫的跳蚤主要是犬栉首蚤和猫栉首蚤,其中犬栉首蚤寄生于犬和野生犬科动物,猫栉首蚤寄生于猫和犬。雄蚤体长不足1毫米,雌蚤有时长达2.5毫米以上。

虽然在犬猫背部可以发现跳蚤,但最容易发现跳蚤的部位在犬腹下部和腹股沟。在长毛犬身上不太容易找到跳蚤,但在其被毛深处发现黑、硬、发亮的粪便,即是跳蚤感染的依据。若把跳蚤粪便放在一张潮湿的白色吸墨纸上,即因血红蛋白被滤出而红染。

2.虱

犬体表主要是犬毛虱和犬长颚虱寄生,猫体表是猫毛虱寄生。犬虱大小相当,雄虱长约1.75毫米,雌虱长2.00毫米左右;猫虱略小,体长1.2毫米。雌虱在宠物被毛根部产卵,约经1月左右,卵由若虫及3次蜕皮而发育为成虱。虱子终身不离宿主,以表皮鳞屑或吸取血液淋巴为食。

icon虱(犬)
虱(犬)
资源描述:虱(犬)(40×)。犬虱大小相当,雄虱长约1.75毫米,雌虱长2.00毫米左右;猫虱略小,体长1.2毫米。
icon犬濒死时虱大量离去
犬濒死时虱大量离去
资源描述:虱子终身不离宿主,以表皮鳞屑或吸取血液淋巴为食。犬濒死时虱大量离去。虱寄生过多时常可引起幼龄动物贫血。
icon鼠类的虱(豚鼠)
鼠类的虱(豚鼠)
资源描述:鼠类的虱(豚鼠)(40×)。豚鼠的虱较犬的要细小很多,肉眼观察很容易认为是皮屑。寄生过多时,其产生的毒素可造成宿主中毒死亡。
icon鼠类的虱(豚鼠)
鼠类的虱(豚鼠)
资源描述:鼠类的虱(豚鼠)(100×)。豚鼠的虱较犬的要细小很多,肉眼观察很容易认为是皮屑。寄生过多时,其产生的毒素可造成宿主中毒死亡。
icon鼠类的虱(豚鼠)
鼠类的虱(豚鼠)
资源描述:豚鼠的虱较犬的要细小很多,肉眼观察很容易认为是皮屑。寄生过多时,其产生的毒素可造成宿主中毒死亡。
icon鼠类的虱(豚鼠)
鼠类的虱(豚鼠)
资源描述:鼠类的虱(豚鼠)(100×5)。豚鼠的虱较犬的要细小很多,肉眼观察很容易认为是皮屑。寄生过多时,其产生的毒素可造成宿主中毒死亡。

虱子较多见于犬猫颈部、耳翼和胸部等避光部位,仔细检查发现虱子即可作出诊断。

3.蜱

寄生在犬猫体表的蜱主要是由蜱螨目、硬蜱科的血红扇头蜱、二棘血蜱、长角血蜱、微小牛蜱等,可引起犬猫瘙痒、皮炎、甚或严重贫血,此外,蜱也是一些传染病如犬埃里希氏体病和某些寄生虫病的传播媒介。

硬蜱,俗称犬豆子或壁虱,呈背腹扁平的长卵圆形,约有芝麻粒至绿豆大小。雌蜱吸饱血后可膨胀数倍,形如蓖麻籽;而雄蜱吸饱血后变化不大。

icon犬体表的蜱
犬体表的蜱
资源描述:寄生在犬猫体表的蜱主要是由蜱螨目、硬蜱科的血红扇头蜱、二棘血蜱、长角血蜱、微小牛蜱等,俗称犬豆子或壁虱,呈背腹扁平的长卵圆形,约有芝麻粒至绿豆大小。
icon吸血后膨胀的蜱
吸血后膨胀的蜱
资源描述:硬蜱,俗称犬豆子或壁虱,呈背腹扁平的长卵圆形,约有芝麻粒至绿豆大小。雌蜱吸饱血后可膨胀数倍,形如蓖麻籽;而雄蜱吸饱血后变化不大。
icon未吸血的蜱
未吸血的蜱
资源描述:未吸血的蜱(犬)(40×)。呈背腹扁平的长卵圆形,约有芝麻粒至绿豆大小。雌蜱吸饱血后可膨胀数倍,形如蓖麻籽;而雄蜱吸饱血后变化不大。

4.蠕形螨

蠕形螨成虫虫体呈细长梭形,长0.25~0.3毫米,宽约0.04毫米,明显分头、胸、腹三部分,并有四对短足位于胸下。其卵呈梭形,长约0.07~0.09毫米。宿主皮肤毛囊是蠕形螨的主要寄生部位,通常先寄生于毛囊上部,而后移至毛囊底部,很少寄生于皮脂腺内。

icon蠕形螨
蠕形螨
资源描述:蠕形螨(犬,未经透明化处理,视野中央)(400×)。
icon蠕形螨(油化透明化)
蠕形螨(油化透明化)
资源描述:蠕形螨(犬,油化透明化,视野中央)(100×)
icon蠕形螨(犬,油法透明化)
蠕形螨(犬,油法透明化)
资源描述:蠕形螨(犬,油化透明化)(400×)。蠕形螨成虫虫体呈细长梭形,长0.25~0.3毫米,宽约0.04毫米,明显分头、胸、腹三部分,并有四对短足位于胸下。
icon蠕形螨(犬,油法透明化,高倍)
蠕形螨(犬,油法透明化,高倍)
资源描述:蠕形螨(犬,油化透明化)(400×5)。蠕形螨成虫虫体呈细长梭形,长0.25~0.3毫米,宽约0.04毫米,明显分头、胸、腹三部分,并有四对短足位于胸下。

将患部皮肤刮削物或挤出毛囊分泌物镜检,若观察到蠕形螨特征性成虫或幼虫即可作出诊断。

5.疥螨

疥螨科螨虫呈微黄白色圆形或龟形,背面隆起,腹面扁平且有四对足。犬疥螨体长不超过0.45毫米,猫背肛螨体长不超过0.25毫米,虫卵呈椭圆形,平均大小约150微米×100微米。

icon疥螨(犬,油法透明化)(100×)
疥螨(犬,油法透明化)(100×)
资源描述:疥螨(犬,油法透明化)(100×)。虫体呈宽卵圆形,半透明,白色,体表覆以细刺毛,足较短。
icon疥螨(犬,KOH法透明化)(100×5)
疥螨(犬,KOH法透明化)(100×5)
资源描述:疥螨(犬,KOH法透明化)(100×5)
icon疥螨和疥螨的卵(犬,油法透明化,400×)
疥螨和疥螨的卵(犬,油法透明化,400×)
资源描述:疥螨科螨虫呈微黄白色圆形或龟形,背面隆起,腹面扁平且有四对足。犬疥螨体长不超过0.45毫米,猫背肛螨体长不超过0.25毫米,虫卵呈椭圆形,平均大小约150微米×100微米。
icon疥螨(犬,油法透明化,400×)
疥螨(犬,油法透明化,400×)
资源描述:疥螨(犬,油法透明化,400×)。疥螨科螨虫呈微黄白色圆形或龟形,背面隆起,腹面扁平且有四对足。犬疥螨体长不超过0.45毫米,猫背肛螨体长不超过0.25毫米,虫卵呈椭圆形,平均大小约150微米×100微米。
icon疥螨的卵(犬,油法透明化,400×)
疥螨的卵(犬,油法透明化,400×)
资源描述:2个疥螨的卵(犬,油法透明化)(400×)

雌雄螨在皮肤表面交配后,雌螨钻进宿主表皮深层挖掘虫道产卵,并以表皮深层的上皮细胞、组织液为食。

6.耳痒螨

主要寄生于犬猫的外耳道内表面,有髙度的传染性,临床症状有:剧烈瘙痒,犬常以前爪抓耳,甩头,耳部发炎或出现过敏反应。脱毛不明显,耳内分泌黄褐色的分泌物,气味腥。

耳痒螨虫体呈椭圆形,大小与犬疥螨相当或略长。耳痒螨的整个生活史都在耳廓内侧完成,以脱落的上皮细胞为食,造成大量耳脂分泌和淋巴液外渗,引起剧烈痒感。犬猫通过直接接触发生感染,特别在犬的哺乳期更易发生。

icon耳痒螨(猫,未透明化,40×)
耳痒螨(猫,未透明化,40×)
资源描述:耳痒螨(猫,未透明化,40×)
icon耳痒螨(猫,油法透明化,100×)
耳痒螨(猫,油法透明化,100×)
资源描述:耳痒螨(猫,油法透明化,100×)。耳痒螨虫体呈椭圆形,大小与犬疥螨相当或略长,足较疥螨长。寄生于动物皮肤表面。
icon耳痒螨头部(猫,油法透明化,400×)
耳痒螨头部(猫,油法透明化,400×)
资源描述:耳痒螨头部(猫,油法透明化,400×)耳痒螨虫体呈椭圆形,大小与犬疥螨相当或略长,足较疥螨长。寄生于动物皮肤表面。
icon耳痒螨腹部(猫,油法透明化,400×)
耳痒螨腹部(猫,油法透明化,400×)
资源描述:耳痒螨腹部(猫,油法透明化,400×)
icon犬痒螨(未透明化,40×)
犬痒螨(未透明化,40×)
资源描述:犬痒螨(未透明化,40×)
icon犬痒螨(油法透明化,400×)
犬痒螨(油法透明化,400×)
资源描述:犬痒螨(油法透明化,400×)
icon2个犬痒螨的卵(油法透明化,400×)
2个犬痒螨的卵(油法透明化,400×)
资源描述:2个犬痒螨的卵(油法透明化,400×)

7.姬螯螨

 临床不是很常见,具有传染性,轻度瘙痒。背中线是主要病变部位,典型病灶是背中线出现大量的比较碎的皮屑。姬螯螨被称为“移动的皮屑”,眼力好的人可以看见它在缓慢的移动。常用醋酸胶带法采样,很容易镜检到。

icon姬螯螨
姬螯螨
资源描述:姬螯螨虫体很大(500μm×350μm),4对足的末端呈梳子状,最具特征的是钩子样的附属口器(accessory mouthpart)或触须(palpus),称为螯针(stylet chelicerae),这是与其他螨虫鉴别的重要标志。
icon犬、猫和兔的姬螯螨形态
犬、猫和兔的姬螯螨形态
资源描述:从左至右是来自犬、猫和兔的姬螯螨。注意每种姬螯螨都具有的特征性的钩子样的附属口器(箭头所示)。

8.真菌

犬癣病主要是因犬小孢子菌感染,其次是石膏样小孢子菌须毛癣菌感染,但不同地区与不同气候条件下,犬主要致病真菌的种类有所变化。猫癣病95%以上是由犬小孢子菌引起的。

致病真菌存在于皮肤表层毛囊、毛根周围或毛干内,能形成大量孢子广泛传播。易感犬猫直接接触患病犬猫、兔或鼠类,或接触真菌污染的笼子、梳子、剪刀和铺垫物等用品而发生感染。人与患病犬猫接触,或健康犬猫与癣病病人接触,均可发生感染。幼年、衰老、瘦弱及有免疫缺陷的犬猫容易发生本病。潮湿温暖的气候、拥挤不洁的环境以及缺乏阳光照射等因素影响本病的发生。

icon犬皮肤真菌:毛内生长的石膏样小孢子菌
犬皮肤真菌:毛内生长的石膏样小孢子菌
资源描述:毛内生长的石膏样小孢子菌(犬,未染色)(1000×5)。侵犯皮肤表层和毛发,造成毛囊坏死、脱毛、皮屑和炎症反应。
icon犬皮肤真菌:犬小孢子菌的菌丝和孢子
犬皮肤真菌:犬小孢子菌的菌丝和孢子
资源描述:犬小孢子菌的菌丝和孢子(犬,未染色)(1000×5)。犬小孢子菌常侵犯皮肤表层和毛发,造成毛囊坏死、脱毛、皮屑,引起的局部炎症反应常较明显。

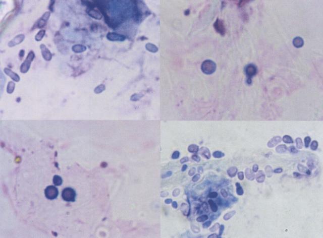
马拉色菌属于酵母菌,芽生。原发性皮肤马拉色菌感染罕见,多为继发感染。患病动物色素沉着,皮肤苔癣化病变,中度到严重的瘙痒。病变部位主要在趾间、颈腹侧、腋下、口部、会阴部和耳道。

icon犬皮肤真菌:马拉色菌
犬皮肤真菌:马拉色菌
资源描述:皮肤真菌:马拉色菌(犬耳道,瑞氏染色)(1000×5)。马拉色菌在皮脂腺丰富处生长,如耳道、肛周、腹股沟、趾缝等,引起皮炎。
icon皮肤真菌:断发癣菌
皮肤真菌:断发癣菌
资源描述:皮肤真菌:断发癣菌(犬,未染色)(1000×5)。病原造成近毛根处的毛干穿孔、毛发易断。
icon犬皮肤真菌:链格孢霉
犬皮肤真菌:链格孢霉
资源描述:皮肤真菌:链格孢霉(犬,未染色)(1000×5)。在免疫抑制的动物或幼龄动物,易引起皮肤感染。

9.细菌

最常见的致病菌是中间葡萄球菌,也包括金黄色葡萄球菌、表皮葡萄球菌、链球菌、化脓性棒状杆菌、假单胞菌和奇异变形杆菌等。疥螨或蠕形螨感染、跳蚤感染、昆虫叮咬性皮炎、各种变态反应等引起瘙痒的皮肤病,以及皮肤干燥、裂伤、免疫缺陷或内分泌失调等也都容易继发细菌感染。

icon表层皮肤感染的杆菌
表层皮肤感染的杆菌
资源描述:表层皮肤感染的杆菌(犬,瑞氏染色)(1000×5)
icon皮肤化脓创内的链球菌
皮肤化脓创内的链球菌
资源描述:皮肤化脓创内的链球菌(犬,瑞氏染色)(1000×5)
5355
阅读
0
评论
--
5
0
2
收藏