| TIPS:细胞变性 |
|
细胞肿胀的概念
细胞肿胀是指细胞内水分增多,细胞质内出现微细颗粒或大小不等的水泡。
细胞肿胀是一种常见的轻度的细胞变性,主要见于代谢旺盛、线粒体丰富的细胞,如肝细胞、肾小管上皮细胞和心肌细胞等实质细胞,也可见于皮肤和黏膜的被覆上皮细胞。
线粒体结构模式图 |
资源描述:动物细胞线粒体结构模式图。线粒体是真核生物进行氧化代谢的部位,是糖类、脂肪和氨基酸最终氧化释放能量的场所。
文件来源:http://byjus.com/biology/mitochondria/
|
细胞肿胀的原因和发生机理
缺氧、感染、发热和中毒等致病因素均可引起细胞肿胀。
以上致病因素可直接损伤细胞膜的结构,也可破坏线粒体的氧化酶系统,使三羧酸循环和氧化磷酸化发生障碍,ATP生成减少,细胞的能量供应不足,导致细胞膜上钠泵功能障碍,细胞内钠离子增多,水分进入细胞增多,细胞肿大。
细胞膜上的钠钾泵和离子通道 |
资源描述:细胞膜上的钾离子通道(左)、钠钾泵(中)和钠离子通道(右)。正常情况下,细胞膜内外存在离子浓度差,细胞外液中钠离子浓度是细胞内的大约20倍,细胞内的钾离子浓度大约是细胞外液的30倍。当钠、钾离子通道开放时,顺着电化学梯度,钾外流(左),钠内流(右)。钠钾泵(即Na+-K+-ATP酶)则可通过主动转运机制,保钾排钠,从而维持细胞内外正常的离子浓度差,这个过程需要消耗ATP,若ATP生成不足,易导致细胞内Na+、水潴留,细胞肿胀。
文件来源:https://lookfordiagnosis.com/mesh_info.php?term=sodium-potassium-exchanging+atpase&lang=1
|
细胞肿胀病理变化
1.眼观病变
发生细胞肿胀的器官体积肿大,被膜紧张,切面隆起,质地脆弱易碎,色泽变淡,呈苍白色而无光泽,似用沸水烫过一样。
2.镜检病变
可见细胞肿大,细胞质内出现多量微细的红染颗粒,具有这种病变特征的早期细胞肿胀又称为颗粒变性。颗粒的存在使得细胞质看起来呈浑浊状态,因此这种细胞肿胀也称为细胞浑浊肿胀,简称细胞浊肿。
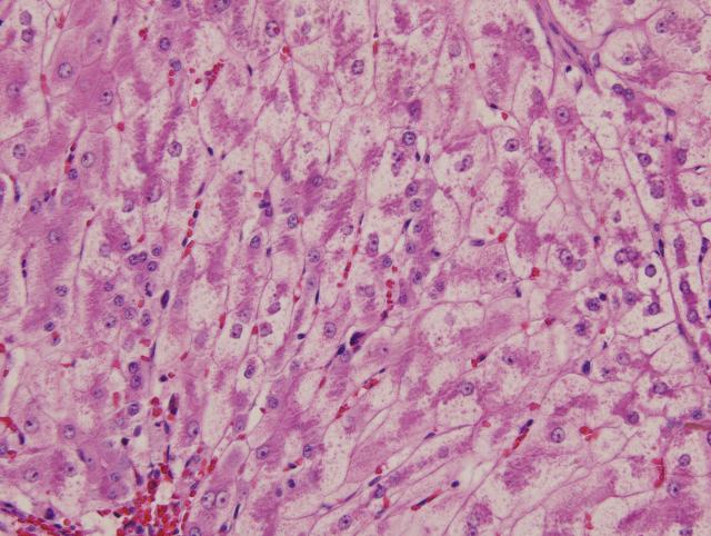
肝细胞颗粒变性 |
资源描述:肝颗粒变性,HE ×400。肝细胞肿大,胞浆中含有许多嗜伊红颗粒,肝窦变小。
文件来源:陈怀涛,兽医病理学图谱
|
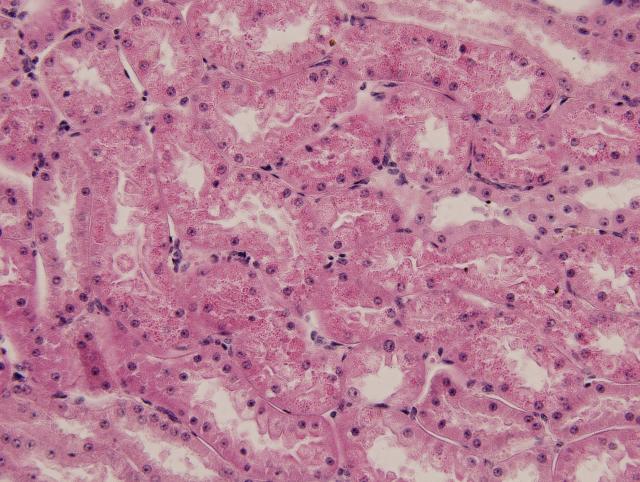
肾颗粒变性 |
资源描述:肾颗粒变性,HE ×400。 肾小管上皮细胞浆中见大量红色蛋白性颗粒,上皮细胞肿胀突入管腔,使管腔变小,呈裂缝或星状,有的管腔中有少量蛋白性物质。
文件来源:陈怀涛,兽医病理学图谱
|
随着病变的发展,细胞肿胀更加明显,细胞质内水分增多,微细颗粒逐渐消失,并出现大小不一的水泡,称水泡变性。
肝水泡变性 |
资源描述:肝水泡变性(也称水样变性),HE ×400 肝细胞肿大,胞浆染色不均,多透亮淡染,但胞核位置常无改变。
文件来源:陈怀涛,兽医病理学图谱
|
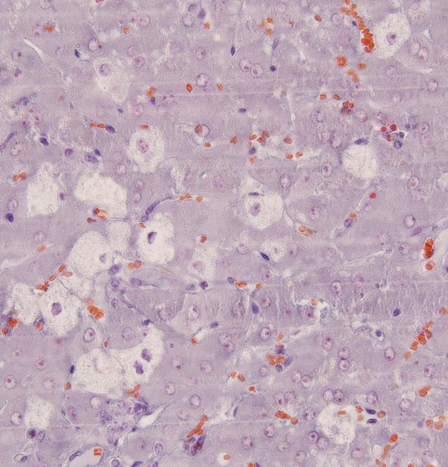
重度细胞水肿,小水泡可相互融合成大水泡,整个细胞膨大变圆,细胞质透明似气球,称气球样变。
肝细胞气球样变 |
资源描述:肝水泡变性, HE ×400。部分肝细胞肿大,淡染,呈大泡状,似气球,称气球样变性(balloning degeneration)。
文件来源:陈怀涛,兽医病理学图谱
|
细胞肿胀的结局和对机体的影响
细胞肿胀是一种可复性损伤,在病因消除后,细胞的功能结构均可逐渐恢复正常;但如病因持续作用,可引起细胞坏死。发生细胞肿胀器官的生理机能有不同程度的降低。



