制作血涂片并进行染色,是临床中血细胞形态学检验,白细胞分类计数等检验项目的前提。能否快速制备高质量的血涂片,将影响到后续工作的开展,血片制作不佳,甚至会影响血细胞的识别。
一、血涂片的推制
| 血涂片推制的基本步骤 |
|
1.载玻片用酒精棉擦净,取盖玻片备用
载玻片的握持方法(左手持片) |
资源描述:血涂片的推制:载玻片的左手持法。左手拇指和中指持载玻片。
文件来源:范开,董军主编.宠物临床显微检验及图谱,化工出版社
|
2.用吸管吸取少量抗凝全血,管口轻触载玻片右1/4,使载玻片蘸上半滴全血
血片制作2:滴加血样 |
资源描述:用塑料吸管吸取少量抗凝全血,管口轻触载玻片1/4处,使载玻片蘸上半滴全血。
文件来源:范开,董军主编.宠物临床显微检验及图谱,化工出版社
|
3.右手持盖玻片(拇指、中指夹持盖玻片,食指轻压盖玻片表面,将盖玻片平滑的一边压在载玻片血滴前方,向后拉盖玻片至血滴,待血滴扩散成线(夹角30°左右),匀速向前推片至载玻片尽头
血片制作3:盖玻片持法 |
资源描述:右手拇指、中指夹持盖玻片两缘,食指轻压玻片表面,将选好的盖玻片平滑边压在载玻片上血滴的前方,两玻片夹角30°左右;后拉盖玻片至接触血滴,待血滴扩散成线。
文件来源:范开,董军主编.宠物临床显微检验及图谱,化工出版社
|
血片制作4:推片 |
资源描述:右手拇指、食指在夹持盖玻片的同时,也夹持了载玻片的两条边,并以之为轨道前推盖玻片,直至载玻片的尽头。注意:对高黏度血液,应尽量减小玻片间的夹角。
文件来源:范开,董军主编.宠物临床显微检验及图谱,化工出版社
|
4.扇动推好的血片,使其迅速干燥,以防细胞皱缩变形,并尽快染色
血片制作5:推制好的未染色的干燥血片 |
资源描述:要取得好的血涂片,应注意:①推片时用力要均匀;②推片速度适中;③玻片间夹角应固定。
文件来源:范开,董军主编.宠物临床显微检验及图谱,化工出版社
|
| 注意事项 |
|
二、血涂片的染色
染色方式有很多,一般根据目的不同选择不同的染色方式。你可能接触过以下这些染色方式:
- 在组织切片和病理切片中常用的HE染色
- 细菌学检验中使用的革兰氏染色和美蓝染色
- 为观察脂肪和脂肪组织的苏丹III染色
- 为观察网状纤维时用的银染
- 此外还有用于神经学研究的锇酸染色等
在宠物临床中,血涂片的染色要兼顾染色时间短、染色效果好,一般使用瑞氏染色,有时也用瑞氏-吉姆萨染色。
| 瑞氏染色的基本操作步骤 |
|
染色时,染液、染色时间、环境温度等对染色效果都会产生影响。实际操作时,需要灵活掌握。
| 影响染色效果的因素分析 |
|
高倍镜下推制和染色良好的血涂片 |
资源描述:高倍镜下推制和染色良好的血涂片(400×5):红细胞呈灰红色,单层排布,细胞间稍有间隙,基本不相重叠和挤压。
文件来源:范开,董军主编.宠物临床显微检验及图谱,化工出版社
|
推片不良的血涂片:细胞叠加 |
资源描述:推片不良的血涂片(瑞氏染色),1000×5:血细胞叠加、堆积
文件来源:范开,董军主编.宠物临床显微检验及图谱,化工出版社
|
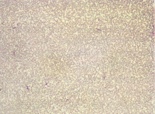
染色不良的血涂片:染料沉积 |
资源描述:染色不良的血涂片(瑞氏染色),1000×5:染料沉渣过多
文件来源:范开,董军主编.宠物临床显微检验及图谱,化工出版社
|


