0 肝脏的生理功能
- ①代谢——参与氨基酸、脂肪和碳水化合物的代谢;
- ②合成——参与白蛋白、胆固醇、凝血因子和其他血浆蛋白的合成;
- ③分泌——分泌胆汁,参与脂肪的消化与吸收;
- ④解毒——参与代谢产物及药物的代谢和排泄;
- ⑤免疫防御——肝内的枯否氏细胞为单核-吞噬细胞系统成员,可吞噬和清除血液(尤其是来自肠壁经门静脉回流入肝的血液)中的异物和病原微生物。
犬正常肝脏形态(后面观) |
文件来源:希尔斯犬病临床解剖图谱
|
肝的血液循环:
马门脉循环模式图 |
文件来源:西北农学院,甘肃农业大学,山西农学院.家畜解剖图谱.西安:陕西人民出版社,1973
|
1 肝病的诊断方法概述
肝病的早期症状通常包括厌食、呕吐、腹泻、沉郁等,但这些症状不具有特异性。
随着病情的发展,患病动物可能出现黄疸、肝性脑病、低血糖、出血性倾向和腹水等,这些症状是肝胆疾病的特异性症状。
| Tips |
|
肝胆疾病实验室检查的种类,一般包括:
- 血常规检查
- 生化检查
- 尿液检查
- 粪便检查
- X线检查
- 超声检查
- 肝组织活检等。
2 血常规检查
肝胆疾病一般不引起血细胞计数和形态出现明显的变化。
门脉短路可能会引起小红细胞低色素性贫血。但需要注意的是,秋田犬、柴犬、松狮犬和沙皮犬等品种的平均红细胞体积(MCV)比其他犬低。
犬猫患肝胆疾病时常引起红细胞形态学变化 |
资源描述:犬猫患肝胆疾病时常引起红细胞形态学变化(瑞氏-姬姆萨染色)。A,小红细胞,见于患有先天性门静脉短路的犬[平均红细胞体积(MCV)=45fL];可将小红细胞与附近正常的小淋巴细胞的体积相比,其直径为6~9μm。B,对比正常犬的红细胞(MCV=70fL)。C,棘形红细胞,见于患有严重慢性肝充血的犬。D,异形红细胞,见于患有胆管炎的猫。
文件来源:Richard等,小动物内科学
|
黄疸,血中胆红素(BIL)升高,是提示肝胆疾病的重要信号,但这些变化也可能是由溶血引起(如中毒、自身免疫性溶血性贫血,或人为操作不当导致血样溶血)。
3 血清生化检查
生化检查项目繁多,一般通过对肝酶和肝功能指标的评估来评价肝胆状况。
对评估肝胆疾病意义较大的酶包括:
- 丙氨酸氨基转移酶(ALT)
- 天门冬氨酸氨基转移酶(AST)
可用于评价肝功能的指标包括:
- 血浆蛋白(SP,TP)
- 血氨
- 胆汁酸
- 血糖(GLU)
- 尿素氮(BUN)
- 胆红素(BIL)
- 胆固醇(CHOL)等。
3.1 受损肝细胞释放的酶
肝酶水平升高通常与肝胆损伤的严重程度呈正相关,但是由于肝脏具有强大的再生能力和代偿能力,导致肝酶升高的程度并不能准确预测肝脏的功能活性,也不能准确地评估预后。
3.1.1 丙氨酸氨基转移酶(ALT)
ALT主要存在于肝细胞内,是具有肝特异性的酶。但是对于犬,严重的肌肉坏死、药物(如糖皮质激素、抗惊厥类药物)等也会引起ALT轻度升高。
| Tips |
| ALT不能作为单一指标用于肝胆疾病的诊断。如犬ALT轻度至中度升高,肌酸激酶(CK)和天门冬氨酸氨基转移酶(AST)均升高,而肝脏并未出现组织学可见的损伤时,则表明骨骼肌有坏死。 |
3.1.2 天门冬氨酸氨基转移酶(AST)
AST存在于肝细胞内,一部分游离于细胞质中,一部分有利于线粒体膜上。
在诊断肝胆疾病方面,AST比ALT更敏感,但特异性较差,其他许多组织和细胞,如红细胞、骨骼肌、心肌、胰腺和肾脏也含有较多的AST。
| Tips |
|
3.2 与胆汁淤积有关的酶
碱性磷酸酶(ALP)和γ-谷氨酰转移酶(GGT)在正常肝细胞和组织内的活性很低,但由于胆汁淤积或药物刺激,这两种酶的生成增加从而导致血液中的活性升高。这两种酶主要存在于细胞膜上。
3.2.1 碱性磷酸酶(ALP)
ALP是一个敏感的肝胆疾病指标。
血清ALP的来源——血清ALP主要存在于肝脏、肾脏、肠道、骨骼和胎盘内。但肾脏、肠道和胎盘内的ALP半衰期很短,因此不会影响ALP的活性。
血清ALP的3种同工酶:
- ①肝脏来源的L-ALP
- ②骨骼来源的B-ALP,主要见于幼年动物或成骨细胞活性较高时,也可见于病理情况(如骨肉瘤和骨髓炎)
- ③糖皮质激素诱导的C-ALP
由于ALP存在3种同工酶,其特异性则相应降低了。
| Tips:犬和猫的ALP差异 |
|
3.3.2 γ-谷氨酰转移酶(GGT)
GGT也存在于许多组织中,但其血清活性主要来源于肝脏。
有研究表明,在犬的肝胆疾病,血清GGT(87%)比血清ALP(51%)特异性高,但敏感性(50%)比ALP(80%)低。同时使用ALP和GGT来诊断肝胆疾病时,特异性可升高至94%。
在猫的肝胆疾病,有研究表明,肝外胆管阻塞和胆管性肝炎可引起GGT重度升高。血清GGT(86%)的敏感性比ALP(50%)高,而特异性(67%)则比ALP(93%)低,但是在猫肝脂沉积症中,血清ALP活性则明显高于GGT。
3.3 血浆蛋白
血浆蛋白包括白蛋白(ALB)、球蛋白(GLOB)、纤维蛋白原(FIB)等。
ALB的半衰期为8~9d。肝脏是合成ALB的唯一器官。白蛋白分子量小,主要功能是维持血浆胶体渗透压。
白蛋白降低,可见于:
- ①慢性肝脏疾病(如肝硬化,门静脉短路等),可以起ALB合成减少;
- ②营养不良(蛋白质缺乏症)
- ③蛋白丢失性胃肠病;
- ④蛋白丢失性肾病;
- ⑤烧伤、血管炎、急性出血等导致的ALB丢失
| Tips |
|
除了合成ALB外,肝脏也合成了许多非免疫球蛋白(α-球蛋白和β-球蛋白),因此肝脏合成功能丧失时,也会伴随低球蛋白血症。
由于非免疫性球蛋白是急性期反应产物,因此慢性炎性肝脏疾病也会引起高球蛋白血症。另外,慢性炎性肝脏疾病也可能会引起免疫球蛋白水平升高。
3.4 血氨
| Tips:氨的代谢 |
|
血氨升高的临床意义:
- 肝衰竭、门静脉短路或鸟氨酸循环中的酶缺乏时,均可引起血氨升高。
- 高血氨是肝性脑病的一个重要指标,但并不是所有肝性脑病的患病动物都会出现高血氨。
临床中测定血氨的最大难点在于样本的处理:
- 采集血样前,动物必须禁食6h以上;
- 血样采集后,必须立即置入冰冻无氨肝素管,然后使用冷冻离心机离心,在30min内测定。但猫的血浆可在-20℃下待检48h,不会影响结果的准确性。
- 红细胞中氨的浓度为血浆中的2~3倍,因此溶血会造成血氨假性增高。
| Tips:肝性脑病与血氨测定采样 |
|
3.5 胆汁酸
| Tips:胆汁酸的肠肝循环 |
|
正常情况下,可检测到由肠肝循环外溢的胆汁酸。
- 禁食时,肠肝循环中外溢的胆汁酸水平较低,测得的血清胆汁酸也较低。
- 进食后胆囊收缩,释放到小肠的胆汁酸增多,血清胆汁酸水平也会增高。
一般情况下,需采集禁食12h和2h的血样。正常犬、猫进食后胆汁酸水平比空腹时升高3~4倍(空腹时一般小于5μmol/L,进食后一般为15μmol/L)。
空腹或进食后胆汁酸水平升高,可提示肝硬化、慢性肝炎、胆汁淤积、先天性门脉短路和肿瘤。一般情况下,继发性肝脏疾病可导致中度的肝胆机能障碍(血清胆汁酸水平低于100μmol/L)。
| Tips |
| 但是胆汁酸水平不能特异性指明肝病的类型,只能用于肝病的筛查及检测病情的发展。 |
3.6 碳水化合物
肝脏的功能之一就是在饥饿状态下维持正常的血糖水平。
在犬、猫肝脏疾病中,低血糖并不常见,若出现低血糖,则意味着80%以上的肝功已经丧失,可见于急性肝衰竭、患有门脉短路的小型犬(超过35%先天性门脉短路的患犬会出现低血糖)。
在排除了功能性低血糖、木糖醇中毒早期、败血症、胰岛素瘤等非肝性原因时,应怀疑肝脏疾病。
3.7 尿素氮(BUN)
尿素氮主要由鸟氨酸循环在肝脏内生成。
尿素氮水平下降可继发于肝脏生成减少。接近65%门脉短路的患犬猫可出现血清尿素氮下降。
除了肝胆疾病外,动物的水合状态、蛋白质摄入水平、肾小球滤过率、胃肠道出血,以及使用利尿剂等,也会引起血清尿素氮下降。
3.8 胆红素(BIL)
胆红素可分为间接胆红素(IBIL)和直接胆红素(DBIL),二者合称为总胆红素(TBIL)。
正常胆色素代谢机理示意图 |
资源描述:胆色素(bile pigment)是动物胆汁的主要基本成分之一,是血红蛋白的分解产物,由棕黄色的胆红素和青绿色的胆绿素组成,由于两者的含量比例和浓度的不同而使胆汁呈现各种颜色。人的胆汁几乎只含有前者,通常是黄褐至红褐色。一般地,肉食动物的胆液多含胆红素;草食动物的胆液多含胆绿素,多少带有绿色。
文件来源:吴礼平
|
| Tips:胆红素的生成、代谢与排泄过程 |
|
几乎所有与高胆红素血症有关的疾病,都以DBIL和IBIL混合出现为特征。血液中无论DBIL还是IBIL升高超过2mg/dL,均可使动物出现黄疸。
引起高胆红素血症的原因有3种:
- 肝前性(溶血性)
- 肝性(实质性)
- 肝后性(阻塞性)
肝前性高胆红素血症,由于溶血可同时出现红细胞比容(HCT)降低、红细胞数减少等,很容易与其他2种相区别。
肝性高胆红素血症,主要是由于肝脏摄入、结合或分泌胆红素的能力受损而引起,可见于引起严重肝内胆汁淤积的疾病,如败血性胆汁淤积,即炎症反应和与感染相关而释放的物质使胆管细胞瘫痪,而造成的功能性胆汁淤积。
肝后性高胆红素血症,主要由引起总胆管阻塞的原因引起。
| Tips |
| 临床上区分肝性和肝后性高胆红素血症至关重要,可结合超声检查、病史、体格检查和其他实验室检查做出判断。 |
3.9 胆固醇(CHOL)
胆固醇主要由肝脏合成,也可来源于食物。
先天性门脉短路可造成血清胆固醇下降,原因不详,可能与胆酸代谢改变有关。
出现肝外胆管阻塞的犬猫,血清胆固醇可能升高,这可能与肝脏合成增多和(或)胆管排泄减少有关。
4 尿液检查
胆红素具有水溶性,可经过肾小球滤过进入尿液。
犬对DBIL的肾阈值较低,且肾小管上皮细胞可以分泌胆红素,所以犬的尿胆红素水平必须结合尿相对密度分析。如非贫血犬存在高胆红素尿(≥2+),同时尿相对密度≤1.025,可提示存在肝胆疾病。对于犬,高胆红素尿可先于黄疸和高胆红素血症出现。
猫对胆红素的肾阈值很高,所以尿中出现少量胆红素即提示异常。
约50%先天性门脉血管异常的患犬,和15%的患猫会出现尿酸铵结晶,必须使用新鲜尿样重复检查以确定此种结晶的存在。
传统上,可使用试纸条测定尿液中的尿胆原来评估肝外胆管系统的状态,但由于该指标的影响因素较多,故参考价值不大。
5 粪便检查
粪便检查很少能为肝胆疾病的评估提供有用的信息。
- 无胆汁粪和脂肪便提示慢性完全肝外胆管阻塞;
- 黑色、橘黄色粪便则提示严重溶血后胆红素生成和排泄增加。
需要注意的是,胃肠道溃疡是门脉高压的重要并发症,因此出现黑粪症的犬提示患有慢性肝病。
6 X线检查
腹部X线检查可用于补充体格检查的结果,或确定肝胆疾病的特征和位置。
正常情况下,犬右侧位可见肝后腹部(左外叶)边缘锐利,当弥散性肝肿大时,则可见肝脏边缘钝圆、肝影增大、胃轴向背后侧移位,而腹背位时,可见胃影向左后方移位。
由于正常犬猫的肝脏可能位于肋弓以内,所以小肝比肝肿大更难发现。小肝可见于肝萎缩或肝硬化。
肝脏的X线密度发生变化很罕见。
- 胆结石或胆总管结石病可引起局部或弥散性的钙化斑点,同时也可见于慢性胆囊感染或肿瘤、肉芽肿、脓肿、消退性血肿和再生性结节。
- 肝脓肿、气肿性胆囊炎或长期的胆管阻塞可使X线片上出现低密度区。
门脉系统的X线造影检查可用于确定先天性门脉血管异常的位置,造影方法有3种:脾门静脉造影术、手术肠系膜门静脉造影术和手术脾门静脉造影术。
其他成像方法,如闪烁扫描法(核素显像)、核磁共振成像诊断术(MRI)和计算机断层扫描术(CT)也可用于门静脉血管异常的诊断。
7 超声检查
正常的肝脏呈等回声,回声强度比脾脏低,比肾皮质高。胆囊呈无回声结构,外围有一层很薄的胆囊壁,一般呈卵圆形至梨形。肝内胆管不可见,总胆管位于门静脉腹侧,呈无回声的管状结构。
犬肝胆B超探查1-6矢状面示意图 |
资源描述:犬肝胆B超探查1-6矢状面示意图。LL – 左侧叶;LM – 左中叶;RL – 右侧叶;RM – 右中叶;C – 尾叶;O – 方叶;GB – 胆囊;A – 腹主动脉;CVC – 后腔静脉;PV – 门静脉;HA – 肝动脉;CHD – 胆总管;RPV – 门静脉右支;HV – 肝静脉;HD – 肝管
文件来源:周庆国主编,犬猫疾病诊治彩色图谱
|
肝脏疾病时,肝脏大小、血管分布和回声强度均可发生变化。
肝增大很容易发现,可见边缘钝圆,膈和胃之间的距离相对增大;萎缩的肝脏则很难成像,膈和胃之间的距离缩小。
必须识别扩张的无回声(暗区)血管和有回声的胆管,以及局部聚集的无回声物,这些无回声物可能是肿瘤、囊肿或脓肿。
强回声(亮点)区提示纤维组织增加、钙化。混合型回声可见于实质性肿瘤疾病和伴有再生性结节的慢性肝病。
对于门脉系统的疾病,采用多普勒彩色血流成像法可确定可以血管的位置和血流方向。
胆囊增大并伴有胆管扩张,尤其是总胆管扩张时,提示肝外胆管阻塞,或熬嗜中性粒细胞性胆管炎。
8 肝组织活检
临床检查和实验室检查对肝胆疾病的诊断也存在一定的局限性,必要时还可采用肝脏活检做出确诊并明确预后。
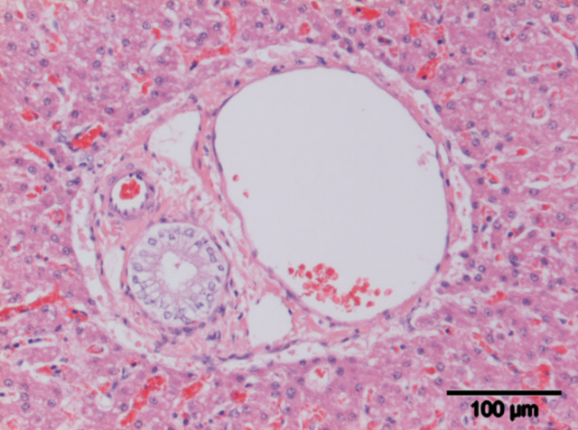
犬肝脏的门管区 |
资源描述:犬肝脏组织切片(示门管区),HE染色。图中可见正常的动脉、静脉、胆管,以及扩张的淋巴管。
文件来源:WSAVA Liver Standardization Group: WSAVA Standards for Clinical and Histological Diagnosis of Canine and Feline Liver Diseases.
|
肝脏活检的适应症包括:
- ①肝酶活性持续增高;
- ②血清胆汁酸水平升高;
- ③局灶性或弥散性肝脏肿物或回声质地改变;
- ④评估治疗效果。
肝脏活检的采样方法包括细针抽吸法、超声引导、腹腔镜和开腹。每种方法都有自身的优缺点。
犬肝脏活检穿刺部位 |
资源描述:犬肝脏Menghini活检过程中的穿刺位置。这只狗被局部麻醉,右侧卧位保定,腹壁位于桌子边缘。穿刺针通过位于剑突尾端2-3cm的中线切口进入腹腔。
文件来源:WSAVA Liver Standardization Group: WSAVA Standards for Clinical and Histological Diagnosis of Canine and Feline Liver Diseases.
|
不管采用何种方法,肝脏活检前都必须先评估动物的凝血状态,最好获得一份完整的凝血信息(一期凝血酶原时间OSPT、APTT、纤维蛋白降解产物、纤维蛋白原含量、血小板数量)。
凝血检测结果轻度异常仍可考虑肝脏活检。但如果存在临床出血表现或凝血检测结果明显异常,则需推迟肝脏活检。



