局部细胞和组织损伤后,机体对损伤所形成的缺损进行修补恢复的过程称修复。修复是机体抗损伤的表现,组织修复主要是通过再生来完成的。
再生的概念与类型
再生是体内细胞或组织损伤后,由邻近健康细胞分裂增殖来修补的过程。
按照再生的完善程度将再生分为完全再生和不完全再生。
- 再生的组织结构和功能与缺损的组织完全相同,称为完全再生;
- 缺损的组织不能完全由结构和功能相同的组织来修复,而由肉芽组织来代替,最后形成疤痕,称为不完全再生,也叫疤痕修复。
影响再生的因素
低等动物,再生大师 |
资源描述:蝾螈等低等动物,通常都具有强大的再生能力。
文件来源:http://filantropikum.com/10-allatfaj-aminek-letezeserol-sok-embernek-fogalma-sincs-te-hallottal-mar-roluk/
|
影响组织再生能力的强弱和完善程度的因素包括:
- 动物年龄大小;
- 神经系统的功能状态;
- 营养状况;
- 受损组织分化程度的高低;
- 损害程度;
- 受损局部的血液循环状况等。
一般来说,如年龄小、营养好、受损组织分化程度低、组织受损程度轻、血液供应良好,则组织再生能力较强;相反,年老、营养差、组织分化程度高、结构复杂、受损严重、血液供应不足时,则再生能力弱。有些组织甚至完全不能再生。
各种组织的再生过程与特点
1.上皮组织的再生
(1)被覆上皮再生
表皮结构模式图 |
资源描述:皮肤表皮(角化复层扁平上皮)的结构,可分为角质层(Stratum corneum)、透明层(Stratum lucidum)、颗粒层(Stratum granulosum)、棘层(Stratum spinosum)和基底层(Stratum basale)。表皮之下为真皮层(Dermis)。表皮结构中,角质层和透明层的细胞已经死亡;基底层和棘层细胞具有分裂增殖能力。表皮内分布有朗格汉斯细胞(Langerhans cell),为表皮内的免疫细胞。keratinocyte:角质形成细胞;Melanocyte:黑色素细胞;Merkel cell:梅克尔细胞(可能是一种特殊的神经分泌细胞,与表皮内的感觉神经末梢有关);Tactile disk:触觉盘;Sensory neuron:感觉神经
文件来源:http://bestofbothworldsaz.com/2010/10/18/the-truth-about-tretinoin-retin-a/
|
皮肤复层鳞状上皮缺损时,由创缘或创底基底层细胞分裂增殖修复,先形成单层上皮细胞层,向缺损中心延伸,以后增生分化为复层鳞状上皮。
上皮组织修复过程 |
资源描述:复层鳞状上皮缺损时,由创缘或创底基底层细胞分裂增殖修复,先形成单层上皮细胞层,向缺损中心延伸,以后增生分化为复层鳞状上皮。
文件来源:见水印
|
黏膜如胃肠黏膜的柱状上皮细胞缺损后,同样也由邻近的上皮细胞分裂增生,初为立方形的幼稚细胞,以后逐渐分化为柱状细胞,有的还可向深部生长形成管状腺。
(2)腺上皮再生
腺上皮的再生能力虽然比被覆上皮弱,但仍有较强的再生能力。
外分泌腺结构模式图 |
资源描述:典型外分泌腺(复管泡状腺)的构造。腺体被结缔组织划分为多个小叶(Lobule)。腺体可分为分泌部(Secretory portion)和导管部(Conducting portion)。分泌部也称为腺泡(Acinus),由分泌细胞构成,细胞胞浆有分泌小泡(Secretory vesicles),分泌小泡内的分泌物排出后进入腺泡腔、导管(Duct)。
文件来源:http://slideplayer.com/slide/10555123/
|
如果腺上皮缺损而腺体的基底膜未被破坏,由残存细胞分裂修补,可完全恢复原来的腺体结构;如果腺体构造完全破坏,则难以通过再生完全修复,而由结缔组织形成瘢痕修复。
2.结缔组织的再生
结缔组织具有强大的再生能力,它不仅在本身损伤时能够完全再生,还积极参与其它组织的损伤修复。
结缔组织再生时,受损处的成纤维细胞分裂、增生,成纤维细胞可由静止状态的纤维细胞转变而来或由未分化的间叶细胞分化而来。
幼稚的成纤维细胞胞体大,呈椭圆形、梭形或星芒状,两端有突起,细胞质丰富呈弱嗜酸性,胞核体积大、染色淡,有1~2个核仁。
当成纤维细胞停止分裂后,开始合成并分泌原胶原蛋白,在细胞周围形成胶原纤维。成纤维细胞逐渐成熟,变成长梭形,细胞质逐渐减少,核也变成长梭形、染色深,成为纤维细胞。
| 肉芽组织 |
| 肉芽组织是由新生的毛细血管和成纤维细胞构成的一种幼稚型结缔组织。体表损伤愈合过程中所形成的肉芽组织,眼观,表面被覆有一薄层红黄色黏稠状渗出物,表面湿润呈鲜红色,颗粒状,形似鲜嫩肉芽,故名肉芽组织。 |
肉芽组织 |
资源描述:肉芽组织是由新生的毛细血管和成纤维细胞构成的一种幼稚型结缔组织。体表损伤愈合过程中所形成的肉芽组织,眼观,表面被覆有一薄层红黄色黏稠状渗出物,表面湿润呈鲜红色,颗粒状,形似鲜嫩肉芽,故名肉芽组织。
文件来源:https://www.researchgate.net/publication/315958226_Painful_Leg_Ulceration_in_a_Poorly_Controlled_Hypertensive_Patient_A_Case_Report_of_Martorell_Ulcer
|
肉芽组织具有丰富的血管,触之易出血,但其中尚无神经长入,所以无痛觉。光镜下,肉芽组织常具有明显的层次性结构。
肉芽组织 |
资源描述:肉芽组织是由新生的毛细血管和成纤维细胞构成的一种幼稚型结缔组织。
文件来源:网络
|
表层往往是均质红染、散在有许多炎性细胞(主要是中性粒细胞)和破碎核的坏死层。因坏死层内有许多炎性细胞,故具有抗感染作用,对肉芽组织起保护作用。
第2层主要为幼稚的成纤维细胞(胞体较大,椭圆形或星形,细胞质丰富呈弱嗜碱性,核椭圆形,淡染,泡沫状)和丰富的毛细血管(垂直于创面生长,近表面处弯曲),其中混有一定数量的炎性细胞。
第3层的成纤维细胞逐渐成熟,并分泌、合成许多胶原纤维,但排列紊乱,毛细血管和炎性细胞逐渐减少,这是较成熟的结缔组织。
最下层或最后为排列规则的胶原纤维束和少量纤维细胞构成的成熟结缔组织(瘢痕组织)。
肉芽组织结构模式图 |
资源描述:肉芽组织是由新生的毛细血管和成纤维细胞构成的一种幼稚型结缔组织。光镜下,肉芽组织常具有明显的层次性结构。表层往往是均质红染、散在有许多炎性细胞(主要是中性粒细胞)和破碎核的坏死层;第2层主要为幼稚的成纤维细胞和丰富的毛细血管;第3层为较为成熟的结缔组织;最下层为成熟结缔组织(瘢痕组织)。本图中主要显示前2层。 Neovascularisation:新生毛细血管;Plasma cells:浆细胞;Macrophages:巨噬细胞;Lymphocytes:淋巴细胞;Ulcer:溃疡(坏死组织);Fibroblasts:成纤维细胞;Neutrophils:嗜中性粒细胞
文件来源:https://www.slideshare.net/drmohammadmanzoor/granulation-tissue-formation
|
| 总结:肉芽组织的结构层次 |
|
3.血细胞的再生
血细胞再生一般与正常造血过程相似。
血细胞生成与分化过程简图 |
资源描述:血细胞生成与分化过程:所有的血细胞均由原血细胞(Hemocytoblast,也称为多能干细胞,Multipotential hematopoieticstem cell)分化而来。多能干细胞分化为普通髓系祖细胞(Common myeloid progenitor)和淋巴样祖细胞(Common lymphoid progenitor),前者继续分化为巨核细胞(Megakaryocyte)、红细胞(Erythrocyte)、肥大细胞(Mast cell)和原始粒细胞(Myeloblast)。原始粒细胞继续分化为嗜碱性粒细胞(Basophil)、嗜中性粒细胞(Neutrophil)、嗜酸性粒细胞(Eosinophil)和单核细胞(Monocyte)。淋巴样祖细胞分化为NK细胞(自然杀伤细胞,Natural killer cell)和小淋巴细胞(Small lymphocyte)分为T淋巴细胞和B淋巴细胞。巨核细胞的碎片形成血小板(Thrombocytes),单核细胞离开血管进入结缔组织,形成巨噬细胞(Macrophage),浆细胞(Plasma cell)由B淋巴细胞分化而来。
文件来源:https://en.wikipedia.org/wiki/Hematopoietic_stem_cell
|
当机体因频繁出血或红细胞遭受破坏时:
- 一方面红骨髓中成血细胞分裂增殖能力增强,大量新生的血细胞进入血液循环;
- 另一方面,黄骨髓转变为红骨髓,恢复造血功能,甚至在淋巴结、脾脏、肝、肾以及其他器官出现髓外造血灶。
4.血管的再生
大的动、静脉血管断裂后,需要手术吻合。吻合处两端的内皮细胞分裂、增生,互相连接,恢复原来的内膜结构。
毛细血管损伤后,多以芽生的方式再生,即由原有毛细血管的内皮细胞肥大并分裂增殖,形成向外突起的幼芽,幼芽继续向外增长而成实心的内皮细胞条索,随着血液的冲击,细胞条索中出现管腔,形成新的毛细血管,新生毛细血管彼此吻合形成毛细血管网。
毛细血管的再生过程 |
资源描述:毛细血管损伤后,多以芽生的方式再生。在血管生长因子(angiogenic cytokines)刺激下,由原有毛细血管的内皮细胞肥大并分裂增殖,形成向外突起的幼芽(sprouting),幼芽继续向外增长而成实心的内皮细胞条索,随着血液的冲击,细胞条索中出现管腔,形成新的毛细血管,新生毛细血管彼此吻合形成毛细血管网。
文件来源:http://www.open.edu/openlearn/science-maths-technology/science/biology/introduction-histopathology/content-section-1.7
|
毛细血管再生后,根据需要可以改建,有的管壁增厚形成小动脉或小静脉。
5.骨组织的再生
骨组织的再生能力很强,但其再生程度取决于损伤的大小、骨膜的存在和固定的状况。
骨组织损伤后主要由骨外膜和骨内膜内层的细胞分裂增生形成一种幼稚的组织进行修复,以后逐渐分化为骨组织,通常可完全再生。
6.软骨组织的再生
软骨组织的再生能力较骨组织差,小的损伤由软骨膜深层的成软骨细胞增殖,形成软骨细胞与软骨基质来修复,大的损伤则由结缔组织修复。
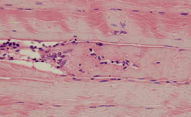
7.肌肉组织再生
(1)骨骼肌的再生
当骨骼肌损伤轻微时,仅肌纤维变性或部分发生坏死,而肌膜完整和肌纤维未完全断裂,此时由中性粒细胞和巨噬细胞进入病变肌纤维内,吞噬清除坏死物质,而后由残留的肌细胞核分裂增殖修复。
肌纤维再生 |
资源描述:骨骼肌的再生:图中部有一条再生的肌纤维,纤维断端可见多核肌芽。
文件来源:陈怀涛,兽医病理学原色图谱
|
如果肌纤维完全断裂,则断端肌细胞核分裂增殖,断端肌浆增多膨大,形成多核巨细胞样的肌芽,形如花蕾,又称肌蕾,但这时肌纤维断端不能直接连续,依靠结缔组织增生修复。
| Question |
| 从有利于创伤修复的角度考虑,腹腔手术时,对腹壁肌的分离,最好是用手术刀切开(或手术剪剪开),还是用手指(或手术刀刀柄)撕开?为什么? |
(2)平滑肌的再生
平滑肌再生能力有限,损伤较轻时,可由残存的平滑肌细胞再生修复,损伤严重时,则由结缔组织修复。
(3)心肌的再生
心肌没有再生能力。心肌细胞损伤后,通常都由结缔组织修复。
8.腱的再生
腱能够再生,但再生过程非常缓慢,而且需要精确的对合,并有一定的张力,否则不能再生而由纤维组织连接。
9.神经组织的再生
中枢神经细胞和神经纤维均无再生能力,当其受到损伤后由神经胶质细胞增生修复,形成胶质细胞瘢痕。
外周神经纤维具有较强的再生能力,其损伤断裂后,只要与其联系的神经细胞还活着,且两断端能对齐吻合,就可完全再生修复。
首先神经纤维远端及近端的1、2个郎飞氏节的髓鞘及神经轴突发生变性崩解,而神经膜细胞(雪旺氏细胞,schwann cell)仍残留,当变性和崩解的物质被吸收后,两端的神经膜细胞增殖将断端连接,而后,近端的神经轴突向远端的神经膜内伸展,一直到达神经末端,神经膜细胞形成髓鞘,完成神经纤维的再生。
神经纤维的再生 |
资源描述:神经纤维的再生再生过程:①轴突(axon)和髓鞘(myelin)断裂;②巨噬细胞(macrophages)吞噬变性轴突和髓鞘,雪旺氏细胞(Schwann cells,也称神经膜细胞)增殖,呈条索状延伸,与近端相连;③近端的神经轴突向远端的神经膜内伸展;④轴突一直到达神经末端,并被雪旺氏细胞包围。
文件来源:见水印
|
如果断端离得较远,近端长出的轴突达不到远端,而与增生的结缔组织混在一起并卷曲成团,形成结节状肿瘤样的神经疙瘩,可引起持久性顽固性疼痛。



