机体内的细胞、组织或器官在受到刺激或环境改变时,可通过改变其机能与形态结构以适应新的环境条件和新的机能要求,这个过程称为适应。
适应是机体在进化过程中获得的适应性反应。适应性改变一般是可逆的,只要组织和细胞的局部环境恢复正常,其形态结构的适应性改变即可恢复。
常见形态结构的适应性改变有:
- 肥大
- 改建
- 化生
肥大
细胞、组织或器官的体积增大称为肥大。组织或器官的肥大主要是由于组成该组织或器官的实质细胞体积增大或数目增多,或二者同时发生而形成的,而细胞的肥大是由于细胞内细胞器合成增强所致。
肥大可分为生理性肥大和病理性肥大。
1.生理性肥大
生理性肥大,是指正常激素分泌增多刺激,或为适应生理机能需要所引起的肥大。如妊娠期的子宫肥大、哺乳期的乳腺肥大、赛马的心肌肥大等。
肌肉肥大示意图 |
资源描述:运动使肌肉强壮,这是一种常见的生理学肥大。不过,骨骼肌的肥大主要是因为肌纤维(肌细胞)增粗所致,骨骼肌细胞在数量上并不增多。
文件来源:见水印
|
2.病理性肥大
致病因素作用引起组织器官的肥大称病理性肥大。如高血压时,左心室排血阻力增强所致的左心室肥大,一侧肾切除后对侧肾的肥大等。
右心肥大示意图 |
资源描述:正常心脏(左)与右心肥大(右)对比示意图。注意右心室心壁厚度的变化。
文件来源:https://lookfordiagnosis.com/mesh_info.php?term=hypertrophy,+right+ventricular&lang=1
|
一般来说,肥大对机体是有利的,但超过一定限度会发生代偿失调。如心肌过度肥大,心肌细胞血液供应相对缺乏,会诱发心力衰竭。
肥胖是不是肥大? |
长期宅在家里,管不住嘴,迈不开腿,导致的肥胖,是不是肥大?为什么?
|
改建
器官、组织的功能负担发生改变后,为适应新的功能需要,其形态结构发生相应变化称为改建。组织改建的种类一般有以下3种:
- 血管的改建;
- 骨组织的改建;
- 结缔组织的改建。
1.血管的改建
动脉内压长期增高,使小血管壁弹性纤维和平滑肌增生,管壁增厚,毛细血管可转变成小动脉、小静脉;反之,当血管由于器官的功能减退时,其原有的一部分血管将发生闭塞,如胎儿的脐动脉在它出生后由于血流停止而转变为膀胱圆韧带。
2.骨组织的改建
患关节性疾病或骨折愈合后,由于骨的负重方向发生改变,骨组织结构形式就会发生相应的改变。此时骨小梁将按力学负荷所赋予的新要求而改变其结构与排列,即形成新的骨小梁系统来取代旧的骨小梁系统。
骨组织结构模式图 |
资源描述:Osteocyte:骨细胞;Periosteal vein:骨膜静脉;Periosteal artery:骨膜动脉;Periosteum:骨膜;Outer fibrous layer:外层纤维层;Inner osteogenic layer:内层成骨层; Central canal:中央管;perforating canal:穿通管;Compact bone:骨密质;Spongy bone:骨松质;Circumferential lamellae:外环骨板;Trabeculae:骨小梁;Medullary cavity:骨髓腔;Interstitial lamellae:间骨板;Concentric lamellae:环骨板;Blood vessels:血管;Lymphatic vessel:淋巴管;lacuna:腔隙;canaliculi:骨小管。
文件来源:见水印
|
在此过程中,不符合重力负重需要的骨小梁逐渐萎缩,而符合重力负荷需要的骨小梁则逐渐肥大,经一定时间之后,骨组织内形成适应新的机能要求的新结构。
3.结缔组织的改建
创伤愈合过程中,肉芽组织内胶原纤维的排列也能适应皮肤张力增加的需要而变得与表皮方向平行。
化生
一种已分化成熟的组织,在环境条件改变的情况下,在形态和功能上完全转变为另一种组织的过程称为化生。
I.化生的类型
化生只能发生在同源细胞之间,如呼吸道的柱状上皮可化生为鳞状上皮,结缔组织可化生为骨组织(同为间叶组织),但不能化生为上皮组织。
常见的化生有鳞状上皮化生和结缔组织化生。
1.鳞状上皮化生
鳞状上皮化生,多见于气管和支气管黏膜,但其他组织也可发生化生。常见的化生如:
- 慢性支气管炎时或支气管扩张症时,支气管黏膜的柱状纤毛上皮化生为复层鳞状上皮。
- 鳞状上皮化生还可见于肾盂结石时肾盂黏膜的移行上皮化生为鳞状上皮、慢性胆囊炎时胆囊黏膜上皮化生为鳞状上皮、慢性宫颈炎时宫颈黏膜化生为鳞状上皮等。
2.结缔组织化生
结缔组织可化生为骨、软骨或脂肪组织等。如骨折愈合过程中,纤维性骨痂转变为骨性骨痂。
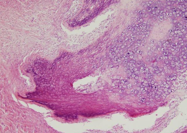
结缔组织化生 |
资源描述:本图周围均为增生的结缔组织,其中有部分已化生为软骨组织,呈较为典型的软骨结构。HE ×400
文件来源:陈怀涛,兽医病理学原色图谱
|
II.化生对机体的影响
化生是机体对内外环境改变的适应性变化,对机体有一定的保护作用,但由于化生的组织失去原有组织的结构和功能,使得这种保护作用不够完善,还有的可能发生癌变。
例如支气管黏膜的鳞状上皮化生,由于丧失了黏液分泌和纤毛细胞,削弱了支气管的防御功能,易于发生感染,甚至可能引起鳞状细胞癌。



